Close-up of a patient's open mouth during dental surgery, revealing teeth and gums with some bleeding, with dental tools in use.

Specialized Courses for Dental Excellence

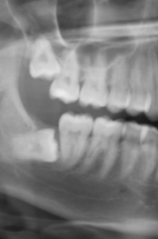
Our Hands-on, Live-Patient Courses are tailored for dental professionals seeking to master advance techniques. Choose from Third Molar Surgical Extraction, Dental Implantology or a combination to gain practical skills, earn CE credits, and elevate your practice. Limited spots ensure personalized instruction in a supportive environment.

Programs

Filters

No results found

No results match your search. Try removing a few filters.